Publications

"Cyclo-Z Improves Hyperglycemia and Lipid Metabolism by Modulating Lysine Acetylation in KK-Ay Mice"

CycloZ significantly improved glycemic control and lipid metabolism in T2DM mouse models. It reduced inflammation in liver and adipose tissue, decreasing TNFα,
MCP-1 and macrophage infiltration. Mitochondrial function and ROS defense were enhanced. Tissue fibrosis was attenuated indirectly via reduced steatosis and inflammation.

A
CTRL
CycloZ
B
CTRL
CycloZ
C
CTRL
CycloZ
D
CTRL
CycloZ
E
CTRL
CycloZ
F
CTRL
CycloZ
"Protective effect of Cyclo(His-Pro) on peritoneal fibrosis through regulation of HDAC3 expression"

Cyclo(His-Pro) (CHP) significantly attenuates peritoneal fibrosis by reducing fibrotic thickening and collagen deposition in mice and human mesothelial cells.
It exerts anti-inflammatory effects by suppressing key cytokines and immune cell infiltration. CHP also enhances mitochondrial function and antioxidant defense via upregulation of Nrf2 and SOD-1. Proteomics revealed HDAC3 as a key node regulated by CHP.

A
B
Sham
PF
PF + CHP (17.5mg/kg)
PF + CHP (35mg/kg)
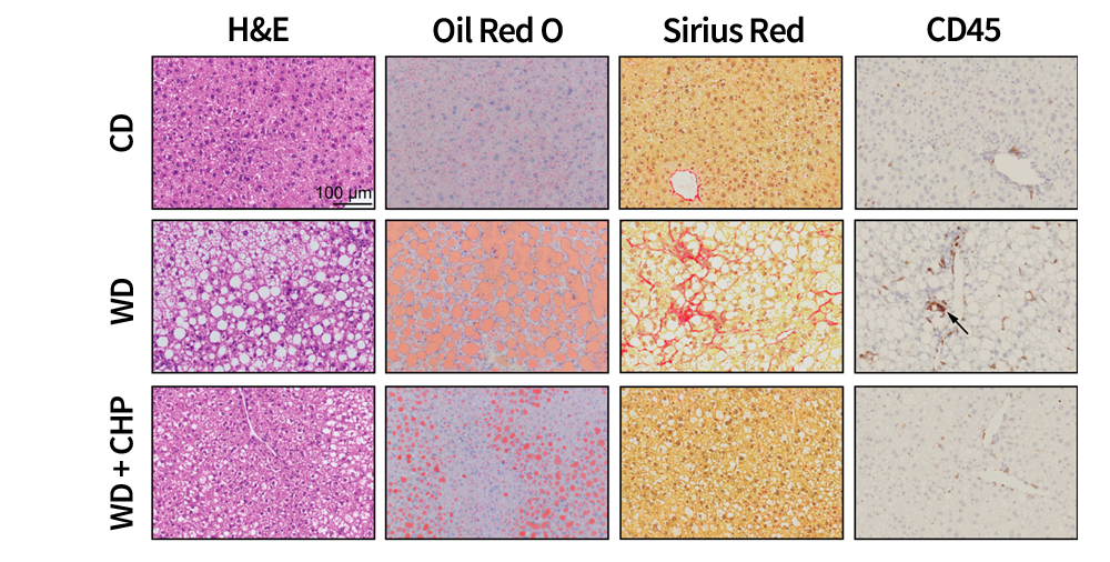
"Cyclo(His-Pro): a further step in the management of steatohepatitis"

Cyclo(His-Pro) (CHP) prevented and reversed liver fibrosis in both diet-induced NAFLD/NASH and CCl₄-induced models. CHP reduced hepatic steatosis, inflammation, and fibrotic remodeling, while improving systemic and liver-specific biomarkers. Treatment enhanced oxidative stress resistance and mitochondrial function. Transcriptomic analyses consistently showed attenuation of inflammation and fibrosis, supporting CHP’s anti-inflammatory and ROS-defense roles.

A
B
CD
WD
WD + CHP
C
D
CD
WD
WD + CHP
E
CD
WD
WD + CHP
F
CD
WD
WD + CHP
G
CD
WD
WD + CHP
H
CD
WD
WD + CHP
I
CD
WD
WD + CHP
"Cyclo His-Pro Attenuates Muscle Degeneration in Murine Myopathy Models"

Cyclo(His-Pro) (CHP) consistently alleviated muscle degeneration in DMD and age-related sarcopenia models. It reduced muscle and cardiac fibrosis, suppressed pro-inflammatory signals, and enhanced mitochondrial function. CHP also activated antioxidant defenses (e.g., Nrf2), improving redox homeostasis. These effects collectively preserved muscle strength and structure across both disease model

A
B
BL10
mdx
mdx + CHP
C
BL10
mdx
mdx + CHP
D

Representative pictures of GM sections stained with hematoxylin and eosin (left) or Sirius red (right) to highlight fibrotic strands (in red).